Definition
- Trauma des Schädels mit neurologischer Klinik ± Hirnverletzung
- Häufigste Todesursache bei Männern < 45 J.
Einteilung
- Offen = Dura verletzt
- Geschlossen = Dura intakt
Nach GCS
- Leicht: 13–15 (90 %)
- Mittel: 9–12 (5 %)
- Schwer: ≤ 8 (5 %)
(Begriffe Commotio, Contusio, Compressio veraltet)
Glasgow Coma Scale (GCS)
👉 E 4 – V 5 – M 6 = 15
E (Eyes): 4 – spontan, 3 – auf Ansprache, 2 – auf Schmerz, 1 – keine
V (Verbal): 5 – orientiert, 4 – desorientiert, 3 – Worte/“Wortsalat“, 2 – Laute, 1 – keine
M (Motorik): 6 – befolgt, 5 – gezielte Schmerzabwehr, 4 – ungezielte Schmerzabwehr, 3 – Beugesynergismen, 2 – Strecksynergismen, 1 – keine
Klinik
- Hirndruckzeichen:
- Kopfschmerz, Erbrechen, Vigilanzstörung
- Neurologische Defizite, Krampfanfälle
- Einklemmung
- Obere Einklemmung: ipsilaterale Pupillenerweiterung/Anisokorie (N. oculomotorius im Tentoriumschlitz, oberhalb Kleinhirn)
- Untere Einklemmung: Kreislauf- und Ateminsuffizienz (Medulla oblongata im Foramen magnum)
Diagnostik
- GCS (Augen 4, Sprache 5, Motorik 6 → max. 15, min. 3)
- CCT nativ (Blutung, Ödem, Fraktur, Mittellinienshift)
- Kontrolle nach 4–8 h oder bei Verschlechterung
- HWS immer mitbeurteilen
Therapie
- Leichtes SHT:
- 24 h Überwachung
- Mittel/schweres SHT:
- Intensivmedizin, Ziel ICP < 20 mmHg
- Oberkörperhochlagerung (30°)
- Analgosedierung
- Osmotherapie (Mannitol, hypertone NaCl)
- Normoventilation / ggf. milde Hyperventilation
- Hypothermie (34 °C, selektiv)
- Dexamethason: NICHT indiziert (nur Tumor)
- Kausal: Hämatomevakuation, Trepanation
DD / Hämatome (prüfungsrelevant!)
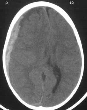
- Epiduralhämatom: A. meningea media, freies Intervall, CCT: bikonvex → sofortige Trepanation

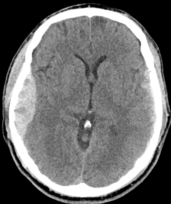
- Subduralhämatom: Brückenvenen, akut (Stunden) oder chronisch (Wochen), CCT: sichelförmig → Trepanation bei Raumforderung

- SAB: Aneurysmaruptur, Vernichtungskopfschmerz, Nimodipin → Coiling/Clipping

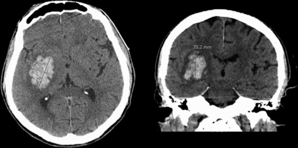
- ICB: Hypertonie, Antikoagulation, CCT: hyperdens intrazerebral → intensivmedizinisch, Gerinnung korrigieren

Leave a Reply