Leitsymptome
- Belastungsdyspnoe → später Ruhedyspnoe
- Trockener Husten
- Leistungsminderung, Müdigkeit
- Später: Trommelschlegelfinger, Uhrglasnägel
KU
inspiratorische Knisterrasselgeräusche („Sklerophonie“)


Wichtige Ursachen / Typen
- Idiopathische Lungenfibrose (IPF) (häufigste)
- Sarkoidose
- Exogen-allergische Alveolitis (Farmer-Lunge, Vogelhalter-Lunge)
- Pneumokoniosen (Asbest, Silikose, Staublunge)
- Kollagenosen (RA, SLE, Sklerodermie, Myositis)
- Medikamentös/toxisch (Amiodaron, Methotrexat, Nitrofurantoin)
Diagnostik
- Klinisch: inspiratorische Knisterrasselgeräusche („Sklerophonie“)
- Bildgebung:
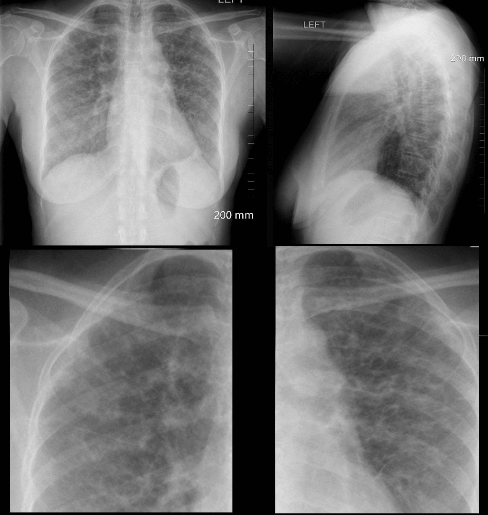
- Rö-Thorax: retikuläre Zeichnungsvermehrung

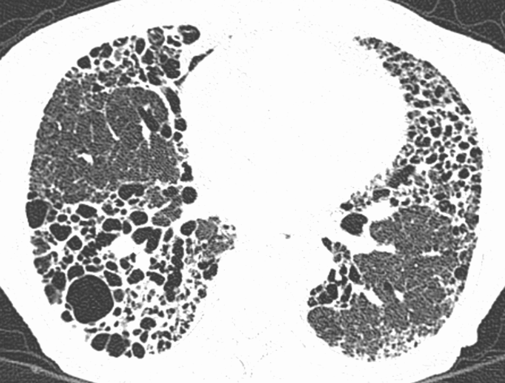
- HRCT (Goldstandard): „honigwabenartige“ Veränderungen (v. a. bei IPF)


- Lufu: restriktives Muster (VC↓, TLC↓, Diffusionskapazität↓)
- Labor: Autoantikörper (bei Kollagenose-Verdacht)
- Biopsie: wenn unklar
Therapie
- Allgemein: Noxen vermeiden (z. B. Asbest, Vögel)
- IPF: Antifibrotisch (Pirfenidon, Nintedanib), ggf. Lungentransplantation
- Sarkoidose: Glukokortikoide
- Exogen-allergische Alveolitis: Antigenkarenz, Glukokortikoide
- Kollagenose-ILD: Immunsuppressiva (z. B. Azathioprin, Cyclophosphamid)
- Pneumokoniose: keine kausale Therapie, nur Exposition beenden, symptomatisch
Komplikationen
- Respiratorische Insuffizienz
- Pulmonale Hypertonie
- Cor pulmonale
Wichtige ILD – Vergleichstabelle
| Erkrankung | Ursache | Typische Klinik | Diagnostik (Key) | Therapie | Komplikationen |
|---|---|---|---|---|---|
| Idiopathische Lungenfibrose (IPF) | unklar (idiopathisch) | Belastungsdyspnoe, trockener Husten, Trommelschlegelfinger | HRCT: Honigwaben, basal, subpleural; Lufu: restriktiv | Antifibrotika(Pirfenidon, Nintedanib), evtl. Lungentransplantation | Respiratorische Insuffizienz, pulmonale Hypertonie |
| Sarkoidose | granulomatöse Erkrankung, unklare Ursache | oft asymptomatisch, Husten, Dyspnoe, LK-Schwellung | Röntgen: bihiläre LK (Stadium I–IV), evtl. ACE↑ | meist spontan, sonst Glukokortikoide | Lungenfibrose, Augen-/Herzbeteiligung |
| Exogen-allergische Alveolitis (EAA) | Inhalation organischer Antigene (Vögel, Schimmel → „Farmer-/Vogelhalter-Lunge“) | Dyspnoe, Husten, Fieber nach Exposition | HRCT: Milchglasinfiltrate, Noduli; Labor: AK gegen Antigen | Antigenkarenz, Glukokortikoide | Chronifizierung → Fibrose |
| Pneumokoniosen(Asbestose, Silikose, Staublunge) | anorganische Stäube (Bergbau, Bau) | Belastungsdyspnoe, trockener Husten | Röntgen/CT: diffuse Fibrose; Asbest → Pleuraplaques | Expositionsstopp, symptomatisch | Asbest: Mesotheliom, Fibrose, Cor pulmonale |




Merksätze
- Belastungsdyspnoe + trockener Husten → ILD denken
- HRCT = Goldstandard
- IPF → Antifibrotisch
- Sarkoidose & Alveolitis → Steroide
- Pneumokoniose → nur Expositionsstopp
HRCT

Leave a Reply